Filum Haptomonada,
Haptophyta ili Prymnesiophyta predstavlja grupu flagelata koji se karakterišu
prisustvom haptoneme između dva glatka biča. To su najčešće
jednoćelijske alge, mada su poznati i predstavnici na kolonijalnom i trihalnom
nivou organizacije. Imaju složen životni ciklus. Ove alge imaju
dvomembranski hromoplastni endoplazmatični retikulum kao i alge iz razdela
Cryptophyta i Ochrophyta, ali se razlikuju po tome što nemaju mastigoneme
na bičevima. Grupa obuhvata oko 500 recentnih vrsta svrstanih u 50 rodova,
a poznat je i veliki broj fosilnih predstavnika razdela Prymnesiophyta čiji su
ostaci, kokoliti, nađeni još u karbonskim slojevima (stari približno 300
miliona godina). Međutim, dobro su proučeni i opisani oblici tek od jure. Sve
do 1962. godine ovi organizmi su grupisani u klasu Chrysophyceae pod
nazivom Coccolithophoridophycidae, kada ih je Christensen izdvojio u
zasebnu klasu pod nazivom Haptophyceae. Ovaj naziv je dat na osnovu njihove
najmarkantnije karakteristike - prisustva haptoneme. S obzirom da je ovaj naziv
deskriptivan i ne zasniva se na nazivu roda iz ove klase (što po botaničkom
kodeksu mora), kasnije je ime preimenovano u Prymnesiophyceae na osnovu roda Prymnesium.
Ove alge se od
ostalih razlikuju jer u protoplastu stvaraju krečnjačke pločice, štapice ili
različito oblikovane ljušture koje se nazivaju kokoliti. Kokoliti se iz
unutrašnjosti ćelije potiskuju prema spoljašnjoj sredini i oblažu površinu
jednoćelijskog tela alge u obliku pancira. Karakteristike građe celog pancira
ili pojedinih kokolita su od osnovnog značaja pri klasifikaciji ovih algi. Iako
sitne, ove alge imaju veoma veliku i važnu ulogu u geohemijskim ciklusima
ugljenika i sumpora. Kokoliti se nakon uginuća alge talože na morskom dnu
stvarajući krečnjačke slojeve, kao na primer sedimente krede. U jednom kubnom
centimetru ovih sedimentnih stena nalazi se i do 800 miliona kokolita. Kokoliti
iz krede mogu se lepo videti kada se ostrugan prah krede za pisanje stavi u kap
vode na predmetnu ploču i posmatra jakim uvećanjem svetlosnog mikroskopa (većim
od 1500 X).
Ovaj filum
protista obuhvata kako nepokretne tako i pokretne oblike. Pokretni oblici se u
većini slučajeva kreću pomoću dva biča, postavljena apikalno ili subapikalno u
papili ili brazdi na ćelijskom omotaču. Kako karakteristična tvorevina za ovaj
razdeo algi se kod većine predstavnika javlja haptonema. Po ovoj tvorevini je
ceo razdeo dobio ima – Haptophyta. Haptonema je končasta tvorevina sa više
funkcija, između ostalog hvatanje plena. Predstavnici ove grupe su autotrofni,
osmotrofni ili fagotrofni organizmi. Površinske evaginacije citoplazme su uobičajene
kod vrsta iz grupe Prymnesiophyta i označavaju se kao pseudopodije. Takođe,
ćelije mogu da formiraju tanki zaostajući filament na njihovoj površini koji
može biti ravan ili razgranat. Ovi citoplazmatični filamenti se nazivaju
filopodije. Mnogi od ovih protista su fagocitni i samim tim poseduju hranljive
vakuole u citoplazmi. U ovim vakuolama se vare čestice hrane kao što su
bakterije i sitnije alge. Vrste iz ove grupe nisu selektivne pri uzimanju
hrane, pa tako često u ćeliju unose detritus koji ne mogu da svare.
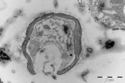
Ispod omotača
nalazi se ćelijska membrana, a u protoplastu se jasno razlikuje citoplazma,
jedro i hromoplasti. Što se tiče broja hromoplasta u citoplazmi, njih može biti
od jednog do četiri, mada ih najčešće ima dva izduženo-diskoidna. Svaki
hromoplast je okružen sa četiri membrane: dve membrane hromoplastnog ovoja i
još dve sa spoljašnje strane koje predstavljaju membrane hromoplastnog
endoplazmatičnog retikuluma. Spoljašnje membrane hromoplasta su u kontaktu sa
ovojem jedra. Po tri tilakoida se nalaze u lamelama, a periferna lamela
obično nije prisutna. Pirenoid je najčešće prisutan u centru hromoplasta ili
predstavlja izbočinu na jednoj njegovoj strani. Očna mrlja nije prisutna ni kod
jednog predstavnika razdela, izuzev kod vrsta roda Pavlova. Ova
struktura je izgrađena od grupe lipidnih kapljica koje su smeštene na prednjem
kraju hromoplasta. Glavni pigmenti su hlorofili koji su kod ovog razdela
algi predstavljeni sa hlorofilom a, c1 i c2, a kod predstavnika klase
Prymnesiophyceae sreće se i hlorofil c3. Predstavnici ovog razdela su
zlatno-smeđe boje zbog toga što kao pomoćne pigmente poseduju diadinoksantin i
fukoksantin koji su žuto-smeđe boje i oni količinski preovlađuju u
hromoplastima ovih algi. Pored ovih pigmenata poseduju i diatoksantin i
β-karoten. Jedro se obično nalazi u zadnjem delu ćelije. Mitohondrije poseduju
cevaste kriste. U citoplazmi svih proučenih vrsta su prisutna dva tipa
vezikula koje su oivičene sa jednom membranom. Prvi tip vezikula sadrži lipidne
materije, a drugi tip rezervne materije. Veliki brij predstavnika razdela kao
rezervne materije skladišti hrizolaminarin (leukozin). Istraživanja vrste Pavlova
mesolychnonsu pokazala da je jedna od rezervnih materija koje se skladište
u ćeliji polimerno jedinjenje izgrađeno od monomernih jedinica glukana
povezanih 1,3 vezama. Ovo jedinjenje je jako slično paramilonu koji je prisutan
kod predstavnika razdela Euglenophyta. Neke vrste iz razdela Prymnesiophyta
poseduju kontraktilne vakuole. Kod nekih predstavnika razdela
Prymnesiophyta, a naročito kod vrsta iz roda Chrysochromulina, nađena su
mukocitna tela neposredno ispod ćelijske membrane. Imaju istu strukturu kao
mukocitna tela zabeležena kod predstavnika razdela Dinophyta i klasa
Raphidophyceae i Chrysophyceae. Sastoje se od polu-providnog sadržaja okruženog
jednom membranom. Kada se izbace u spoljašnju sredinu transformišu se u
cilindrična neprozirna tela jednakog prečnika. Funkcija ovih struktura nije
poznata. Kod vrste Phaeocystis globosa su uočene vezikule čiji
sadržaj predstavljaju cilindrični hitinski filamenti. Svaka vezikula sadrži pet
hitinskih filamenata koji su zakačeni u blizini baze drugog hitinskog
filamenta. Ovi filamenti svojim bazama formiraju petostranu zvezdu kada se
izbace iz vezikule.
Ovi protisti
većinom žive u planktonu toplih mora i okeana, mada su pojedine vrste pronađene
u slatkim vodama i na kopnu. Pojedini predstavnici razdela su toksični za
vodene organizme, u prvom redu ribe. Oni čine najveći deo morskog nanoplanktona
i predstavljaju oko 45% ukupnog fitoplanktona na srednjim geografskim širinama
u oblasti južnog Atlantika. Njihov broj opada u vodama koje su bliže polovima,
ali se neke vrste sreću i u polarnim vodama. Kao i mnogi drugi protisti,
predstavnici grupe Prymnesiophyta učestvuju u izgradnji simbiontskih zajednica.
Naime, predstavnici grupe Radiolaria se hrane ovim protistima, pa se dešava da
oni ne budu svareni te na taj način nastavljaju svoj život unutar citoplazme
radiolarija sa kojima stupaju u simbiontske odnose. Endosimbionti se nalaze u
rizopodijalnoj mreži koja se nalazi oko centralne kapsule predstavnika grupe
Radiolaria. Endosimbionti fiksiraju ugljen-dioksid i neke produkte nastale u
ovom biohemijskom procesu predaju ćeliji domaćina.


